D-Trax® Tratamiento Percutáneo de la Artrosis Facetaria Cervical
Sistema mínimamente invasivo de descompresión y fijación cervical posterior
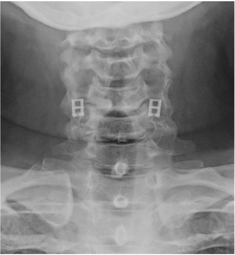
El sistema DTRAX® se compone de 2 cuñas de titanio que se introducen entre las facetas articulares cervicales para conseguir un aumento del espacio foraminal produciendo así la descompresión de la raíz o raíces nerviosas comprimidas a través de la distracción facetaria a la vez que produce una fijación estable de la articulación en el nivel implantado favoreciendo la fusión. Todo ello se realiza mediante un abordaje mínimamente invasivo gracias a un instrumental especialmente diseñado para ello.
DTRAX® está indicado para su uso en pacientes esqueléticamente maduros con patología degenerativa discal de la columna cervical (C3 a C7) con acompañamiento de radiculopatía y/o dolor facetario. La distracción facetaria que produce el DTRAX® hace que el espacio foraminal aumente aproximadamente en un 20% además de producir una estabilización de la articulación mayor en movimientos de rotación axial y movimientos laterales e igual en flexo- extensión si lo comparamos con la estabilización que produce una caja y una placa colocada mediante un abordaje anterior tradicional.
Además de la indicación principal para el tratamiento de estenosis foraminal cevical o radiculopatías, DTRAX® se puede colocar para el tratamiento del nivel adyacente sintomático post-intrumentación por vía posterior o anterior, para fijar un segmento intervenido con caja y placa anterior que tiene pseudoartosis, en casos de hundimiento de una caja o una prótesis de disco, para eliminar el dolor axial del cuello o dolor facetario persistente tras una vía anterior o para usarse en combinación de una caja y placa por vía anterior para así realizar una fusión 360°.
BENEFICIOS
- Abordaje mínimamente invasivo.
- Recuperación del espacio foraminal en un 20%.
- Se mantiene la lordosis fisiológica del paciente.
- Superficie de fusión similar a la de los platillos vertebrales cervicales.
- Posibilidad de colocar injerto óseo en las superficies del implante.
- Fija el segmento implantado.
- Los dientes autorretentivos de la superficie superior e inferior evitan la expulsión del implante.
- Reducido tiempo quirúrgico.
- Recuperación del paciente en menos de 24 horas.
- Deja abierta la posibilidad de abordaje anterior o posterior en caso de futuras intervenciones.
- Técnica quirúrgica segura.
- Empaquetado estéril de instrumental e implantes en una sola caja.
Puede consultar un vídeo de la técnica aquí debajo:
Si esta más interesado y cree que pudiera ser de su utilidad, puede solicitar cita en la consulta para valorar dicho tratamiento o una alternativa más adecuada.
Puede descargar este folleto informativo.








